নিচে দাঁতের সাধারণ (Primary) সমস্যাগুলো, তাদের প্যাথোফিজিওলজি, ক্লিনিক্যাল বৈশিষ্ট্য এবং একজন ডেন্টিস্ট কীভাবে সেগুলো নির্ণয় (diagnosis) করেন—তা বিস্তারিতভাবে উপস্থাপন করা হলো। আলোচনাটি ডেন্টাল শিক্ষার্থী ও প্র্যাকটিশনারদের উপযোগী করে সাজানো হয়েছে।
ভূমিকা
ওরাল হেলথ সামগ্রিক স্বাস্থ্যের অবিচ্ছেদ্য অংশ। দাঁত ও পার্শ্ববর্তী টিস্যুর রোগ শুধু ব্যথা বা চিবানোর সমস্যাই তৈরি করে না; দীর্ঘমেয়াদে পুষ্টিহীনতা, সিস্টেমিক ইনফেকশন, এমনকি কার্ডিওভাসকুলার ঝুঁকিও বাড়াতে পারে। দাঁতের অধিকাংশ রোগ প্রিভেন্টেবল, যদি প্রাথমিক পর্যায়ে শনাক্ত ও ব্যবস্থাপনা করা যায়। তাই সঠিক ইতিহাসগ্রহণ, ক্লিনিক্যাল পরীক্ষা ও উপযুক্ত ইনভেস্টিগেশন—ডেন্টাল প্র্যাকটিসের মূল ভিত্তি।
দাঁতের প্রাথমিক (Primary) সমস্যাসমূহ
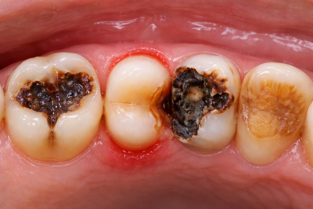
১) ডেন্টাল ক্যারিজ (Dental Caries)
রোগের প্রকৃতি
ডেন্টাল ক্যারিজ হলো দাঁতের হার্ড টিস্যু (এনামেল, ডেন্টিন, সিমেন্টাম)–এর ডিমিনারালাইজেশন, যা প্লাক-জীবাণু দ্বারা উৎপন্ন অ্যাসিডের কারণে হয়। প্রধান জীবাণু: Streptococcus mutans, Lactobacillus spp.
ঝুঁকির কারণ
- উচ্চ চিনি/স্টার্চ গ্রহণ
- অনিয়মিত ব্রাশিং
- লো স্যালাইভা ফ্লো (xerostomia)
- গভীর ফিসার
- অপর্যাপ্ত ফ্লুরাইড এক্সপোজার
ক্লিনিক্যাল বৈশিষ্ট্য
- সাদা চকচকে দাগ (white spot lesion)
- কালচে/বাদামি গর্ত
- ঠান্ডা/মিষ্টিতে সংবেদনশীলতা
- ব্যথা (পাল্প ইনভলভমেন্ট হলে তীব্র)
নির্ণয় পদ্ধতি
- ভিজ্যুয়াল-ট্যাকটাইল এক্সামিনেশন (mouth mirror + explorer)
- Bitewing radiograph: ইন্টারপ্রক্সিমাল ক্যারিজ শনাক্তে কার্যকর
- Caries detection dye
- Transillumination (FOTI/DIAGNOdent)
২) পেরিওডন্টাল রোগ (Gingivitis ও Periodontitis)
Gingivitis
প্লাক-ইনডিউসড রিভার্সিবল প্রদাহ।
লক্ষণ:
- মাড়ি লালচে
- ব্রাশে রক্তপাত
- ফোলা
Periodontitis
সাপোর্টিং টিস্যু (PDL, alveolar bone) ধ্বংস।
লক্ষণ:
- পকেট ফর্মেশন (>3 mm)
- দাঁত নড়া
- মাড়ি সরে যাওয়া
- পুঁজ
নির্ণয়
- Periodontal probing (UNC-15 probe)
- Bleeding on probing (BOP)
- Clinical attachment level (CAL)
- Periapical / OPG radiograph–এ bone loss মূল্যায়ন
৩) দাঁতের সংবেদনশীলতা (Dentin Hypersensitivity)
কারণ
- এনামেল ক্ষয়
- মাড়ি সরে গিয়ে ডেন্টিন এক্সপোজ
- অ্যাসিডিক ডায়েট
- অতিরিক্ত ব্রাশিং
লক্ষণ
- ঠান্ডা, গরম, মিষ্টিতে তীক্ষ্ণ ব্যথা
- স্বল্পস্থায়ী শক-টাইপ পেইন
নির্ণয়
- এয়ার ব্লাস্ট টেস্ট
- কোল্ড টেস্ট
- ডিফারেনশিয়াল ডায়াগনোসিস (ক্যারিজ/ক্র্যাক টুথ বাদ দেওয়া)
৪) পাল্পাইটিস (Pulpitis)
Reversible pulpitis
- স্বল্পস্থায়ী ব্যথা
- উদ্দীপনা সরালে কমে যায়
Irreversible pulpitis
- স্পন্টেনিয়াস ব্যথা
- রাতে বাড়ে
- লম্বা সময় থাকে
নির্ণয়
- Thermal test (cold test – Endo ice)
- Electric pulp test (EPT)
- Percussion test
- Periapical radiograph
৫) পেরিয়াপিক্যাল অ্যাবসেস
লক্ষণ
- তীব্র ব্যথা
- দাঁতে চাপ দিলে ব্যথা
- ফোলা
- ফিস্টুলা
নির্ণয়
- পারকাশন পজিটিভ
- পেরিয়াপিক্যাল রেডিওলুসেন্সি
- ট্রেসিং গাটাপার্চা দিয়ে সাইনাস ট্র্যাক
৬) ম্যালঅক্লুশন (Malocclusion)
ধরণ
- Class I
- Class II (retrognathic)
- Class III (prognathic)
লক্ষণ
- দাঁত বাকা
- কামড়ের অসামঞ্জস্য
- চিবাতে সমস্যা
নির্ণয়
- ইনট্রাওরাল পরীক্ষা
- মডেল অ্যানালাইসিস
- সেফালোমেট্রিক এক্স-রে
৭) দাঁত ভাঙা বা ক্র্যাক (Tooth Fracture / Cracked Tooth Syndrome)
কারণ
- ট্রমা
- শক্ত বস্তু কামড়ানো
- ব্রুক্সিজম
নির্ণয়
- ট্রান্সইলুমিনেশন
- বাইট টেস্ট (Tooth slooth)
- রেডিওগ্রাফ
৮) ওরাল আলসার
প্রকার
- Aphthous ulcer
- Traumatic ulcer
- Herpetic lesion
নির্ণয়
- ইতিহাস
- ক্লিনিক্যাল চেহারা
- প্রয়োজনে বায়োপসি
৯) ব্রুক্সিজম (Bruxism)
লক্ষণ
- দাঁত ক্ষয়
- জ-ব্যথা
- TMJ ক্লিকিং
নির্ণয়
- ওক্লুসাল ওয়্যার
- মাসেটার টেন্ডারনেস
- নাইট গার্ড প্রয়োজনীয়তা মূল্যায়ন
১০) হ্যালিটোসিস (Halitosis)
কারণ
- পেরিওডন্টাল রোগ
- জিহ্বায় ডেব্রিস
- ড্রাই মাউথ
নির্ণয়
- অর্গানোলেপ্টিক টেস্ট
- সালফার মনিটর
- ওরাল হাইজিন মূল্যায়ন
একজন ডেন্টিস্ট কীভাবে রোগ নির্ণয় করেন?
১) রোগীর ইতিহাসগ্রহণ (Case History)
Chief Complaint (CC)
- “কতদিন ধরে ব্যথা?”
- “কোন দাঁত?”
- “ব্যথা কেমন—ধকধক/তীক্ষ্ণ?”
History of Present Illness
- শুরু, সময়কাল
- উদ্দীপনা
- রেডিয়েশন
- ওষুধে কমে কিনা
Medical History
- ডায়াবেটিস
- হাইপারটেনশন
- অ্যালার্জি
- রক্তপাত সমস্যা
Dental History
- পূর্বে RCT হয়েছে?
- স্কেলিং কবে করেছেন?
২) ক্লিনিক্যাল পরীক্ষা
Extraoral
- মুখ ফোলা
- লিম্ফ নোড
- TMJ মুভমেন্ট
Intraoral
- দাঁতের রঙ
- ক্যারিজ
- পকেট
- ওক্লুশন
৩) ডায়াগনস্টিক টেস্ট
- Radiographs
- Bitewing
- Periapical
- OPG
- Vitality tests
- Periodontal charting
- Study models
ডিফারেনশিয়াল ডায়াগনোসিস
উদাহরণ:
দাঁতের ব্যথা সবসময় ক্যারিজ নয়।
- সাইনুসাইটিস
- ট্রাইজেমিনাল নিউরালজিয়া
- রেফার্ড পেইন
সঠিক ইতিহাস ও পরীক্ষা ছাড়া চিকিৎসা ভুল হতে পারে।
বিশেষ পরিস্থিতি
শিশু
- Early childhood caries
- ফ্লুরোসিস
গর্ভবতী
- Pregnancy gingivitis
- সীমিত রেডিওগ্রাফ
বয়স্ক
- রুট ক্যারিজ
- ড্রাই মাউথ
আধুনিক ডায়াগনস্টিক প্রযুক্তি
- CBCT (3D imaging)
- Intraoral scanner
- Laser caries detector
- Digital radiography (low radiation)
প্রতিরোধমূলক মূল্যায়ন
- Caries risk assessment
- Salivary flow test
- Plaque index
- OHI-S index
চিকিৎসা পরিকল্পনা (Treatment Planning)
১. জরুরি সমস্যা আগে
২. সংক্রমণ নিয়ন্ত্রণ
৩. রেস্টোরেটিভ কাজ
৪. প্রোস্থোডন্টিক রিহ্যাব
৫. মেইনটেন্যান্স ফেজ
উপসংহার
দাঁতের প্রাথমিক সমস্যাগুলোর মধ্যে সবচেয়ে সাধারণ হলো ডেন্টাল ক্যারিজ ও পেরিওডন্টাল রোগ। এগুলোর পাশাপাশি সংবেদনশীলতা, পাল্পাল প্যাথোলজি, অ্যাবসেস, ম্যালঅক্লুশন, ক্র্যাকড টুথ ও হ্যালিটোসিস প্রায়ই দেখা যায়। একজন দক্ষ ডেন্টিস্ট রোগ নির্ণয়ে যে ধাপগুলো অনুসরণ করেন তা হলো—
- বিস্তারিত ইতিহাসগ্রহণ
- সুসংগঠিত ক্লিনিক্যাল পরীক্ষা
- প্রয়োজনীয় রেডিওগ্রাফ
- ভিটালিটি ও পেরিওডন্টাল টেস্ট
- ডিফারেনশিয়াল ডায়াগনোসিস
প্রাথমিক পর্যায়ে সঠিক শনাক্তকরণই সফল চিকিৎসার মূল চাবিকাঠি।
https://www.wikidata.org/wiki/Q137474647
https://www.openstreetmap.org/user/NagaBazar
https://maps.app.goo.gl/MvCkhELkBjdzFUEd8

